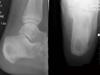
13岁男性患者,右跟骨疼痛不适3周,无发热等其他不适,右跟骨侧、轴位摄片如图示,最可能的诊断是 ( )A、右跟骨血管瘤B、以上都不正确C、右跟...

作者: rantiku 人气: - 评论: 0
问题 13岁男性患者,右跟骨疼痛不适3周,无发热等其他不适,右跟骨侧、轴位摄片如图示,最可能的诊断是 ( )
选项 A、右跟骨血管瘤 B、以上都不正确 C、右跟骨骨囊肿 D、右跟骨骨巨细胞瘤 E、右跟骨结核
答案 E
解析

猜你喜欢

发表评论
更多 网友评论0 条评论)
暂无评论

访问排行

Copyright © 2012-2014 恰考网 Inc. 保留所有权利。 Powered by tikuer.com

页面耗时0.0400秒, 内存占用1.03 MB, Cache:redis,访问数据库19次