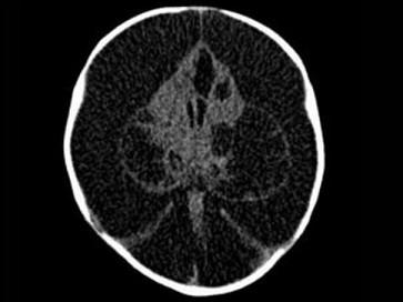
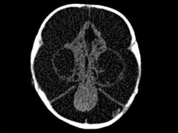
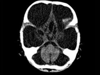
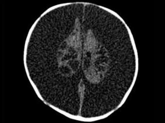
3个月男婴,头颅迅速增大,发育停滞,CT表现如图,可能的诊断为 ( )A、先天性脑积水B、重度脑积水C、慢性双侧性巨大硬膜下血肿 ...

作者: rantiku 人气: - 评论: 0
问题 3个月男婴,头颅迅速增大,发育停滞,CT表现如图,可能的诊断为 ( )
选项 A、先天性脑积水 B、重度脑积水 C、慢性双侧性巨大硬膜下血肿 D、水瘤 E、脑严重缺血
答案 A
解析

猜你喜欢

发表评论
更多 网友评论0 条评论)
暂无评论

访问排行

Copyright © 2012-2014 恰考网 Inc. 保留所有权利。 Powered by tikuer.com

页面耗时0.0628秒, 内存占用1.03 MB, Cache:redis,访问数据库19次