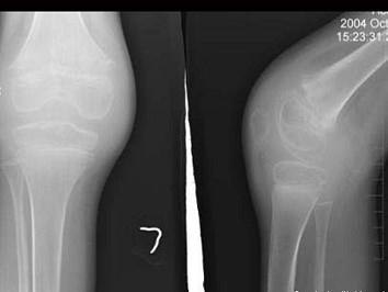
10岁男性患者,左膝关节反复肿胀,活动受限,伴低热2年,经抗炎治疗效果不明显,行左膝关节摄片如图示,最佳诊断是 ( )A、左膝化脓性关节炎B、以上...

作者: rantiku 人气: - 评论: 0
问题 10岁男性患者,左膝关节反复肿胀,活动受限,伴低热2年,经抗炎治疗效果不明显,行左膝关节摄片如图示,最佳诊断是 ( )
选项 A、左膝化脓性关节炎 B、以上都不正确 C、左膝关节结核(骨型) D、左膝关节结核(混合型) E、左膝关节结核(滑膜型)
答案 E
解析

猜你喜欢

发表评论
更多 网友评论0 条评论)
暂无评论

访问排行

Copyright © 2012-2014 恰考网 Inc. 保留所有权利。 Powered by tikuer.com

页面耗时0.0623秒, 内存占用1.03 MB, Cache:redis,访问数据库20次