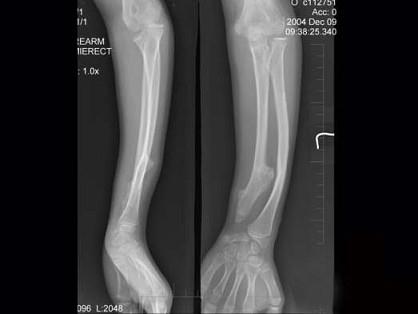
12岁女性患者,左前臂外翻畸形4年,摄片如图所示,最佳的诊断是 ( )A、软骨发育不全B、骨折后愈合不良C、马德隆畸形D、先天性干骺端发育...

作者: rantiku 人气: - 评论: 0
问题 12岁女性患者,左前臂外翻畸形4年,摄片如图所示,最佳的诊断是 ( )
选项 A、软骨发育不全 B、骨折后愈合不良 C、马德隆畸形 D、先天性干骺端发育不全 E、奥利病
答案 C
解析

猜你喜欢

发表评论
更多 网友评论0 条评论)
暂无评论

访问排行

Copyright © 2012-2014 恰考网 Inc. 保留所有权利。 Powered by tikuer.com

页面耗时0.0422秒, 内存占用1.03 MB, Cache:redis,访问数据库20次