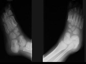
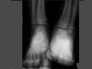
女,5岁,左踝疼痛,请结合图像,选出最可能的诊断 ( )A、风湿性关节炎B、痛风C、退行性骨关节病D、神经性关节病E、创伤性关节炎

作者: rantiku 人气: - 评论: 0
问题 女,5岁,左踝疼痛,请结合图像,选出最可能的诊断 ( )
选项 A、风湿性关节炎 B、痛风 C、退行性骨关节病 D、神经性关节病 E、创伤性关节炎
答案 D
解析

猜你喜欢

发表评论
更多 网友评论0 条评论)
暂无评论

访问排行

Copyright © 2012-2014 恰考网 Inc. 保留所有权利。 Powered by tikuer.com

页面耗时0.0366秒, 内存占用1.03 MB, Cache:redis,访问数据库19次