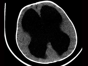
婴幼儿,女,头比一般孩子大,请结合影像图像选择最可能的诊断 ( )A、先天发育异常B、脑囊肿C、阻塞性脑积水D、交通性脑积水E、脑萎缩

作者: rantiku 人气: - 评论: 0
问题 婴幼儿,女,头比一般孩子大,请结合影像图像选择最可能的诊断 ( )
选项 A、先天发育异常 B、脑囊肿 C、阻塞性脑积水 D、交通性脑积水 E、脑萎缩
答案 C
解析

猜你喜欢

发表评论
更多 网友评论0 条评论)
暂无评论

访问排行

Copyright © 2012-2014 恰考网 Inc. 保留所有权利。 Powered by tikuer.com

页面耗时0.0366秒, 内存占用1.03 MB, Cache:redis,访问数据库19次