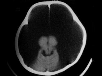
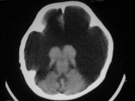
女,1岁半,头颅迅速增大,行CT检查如图,请选出最可能的诊断 ( )A、硬膜下积液B、脑内血肿C、硬膜外血肿D、硬膜下血肿E、积水...

作者: rantiku 人气: - 评论: 0
问题 女,1岁半,头颅迅速增大,行CT检查如图,请选出最可能的诊断 ( )
选项 A、硬膜下积液 B、脑内血肿 C、硬膜外血肿 D、硬膜下血肿 E、积水型无脑畸形
答案 E
解析

猜你喜欢

发表评论
更多 网友评论0 条评论)
暂无评论

访问排行

Copyright © 2012-2014 恰考网 Inc. 保留所有权利。 Powered by tikuer.com

页面耗时0.0360秒, 内存占用1.03 MB, Cache:redis,访问数据库20次