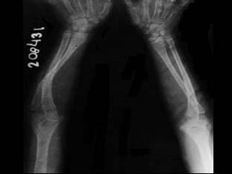
女,2岁,有蓝色巩膜、听力障碍,四肢畸形等,请结合所提供图像,选择最佳选项 ( )A、呆小病B、成骨不全C、维生素C缺乏病D、软骨发育...

作者: rantiku 人气: - 评论: 0
问题 女,2岁,有蓝色巩膜、听力障碍,四肢畸形等,请结合所提供图像,选择最佳选项 ( )
选项 A、呆小病 B、成骨不全 C、维生素C缺乏病 D、软骨发育不全 E、维生素D缺乏病
答案 B
解析

猜你喜欢

发表评论
更多 网友评论0 条评论)
暂无评论

访问排行

Copyright © 2012-2014 恰考网 Inc. 保留所有权利。 Powered by tikuer.com

页面耗时0.0390秒, 内存占用1.03 MB, Cache:redis,访问数据库18次