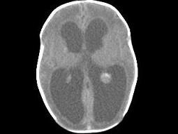
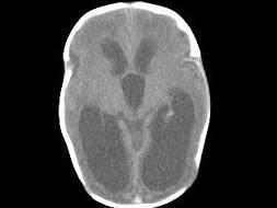
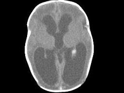
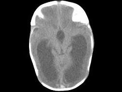
1岁,女,头颅呈球状,颅骨透光试验阳性,请结合CT图片,选择最可能的诊断 ( )A、先天性脑积水B、重度脑积水C、慢性双侧性巨大硬...

作者: rantiku 人气: - 评论: 0
问题 1岁,女,头颅呈球状,颅骨透光试验阳性,请结合CT图片,选择最可能的诊断 ( )
选项 A、先天性脑积水 B、重度脑积水 C、慢性双侧性巨大硬膜下血肿 D、水瘤 E、脑严重缺血
答案 A
解析

猜你喜欢

发表评论
更多 网友评论0 条评论)
暂无评论

访问排行

Copyright © 2012-2014 恰考网 Inc. 保留所有权利。 Powered by tikuer.com

页面耗时0.0293秒, 内存占用1.03 MB, Cache:redis,访问数据库19次