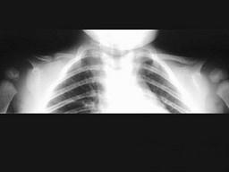
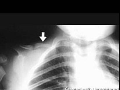
男,2岁,发育迟缓,头颅软,请结合图像,选出最可能的诊断 ( )A、软骨发育不全B、粘多糖病C、颅锁骨发育不全D、马方综合征E...

作者: rantiku 人气: - 评论: 0
问题 男,2岁,发育迟缓,头颅软,请结合图像,选出最可能的诊断 ( )
选项 A、软骨发育不全 B、粘多糖病 C、颅锁骨发育不全 D、马方综合征 E、成骨不全
答案 C
解析

猜你喜欢

发表评论
更多 网友评论0 条评论)
暂无评论

访问排行

Copyright © 2012-2014 恰考网 Inc. 保留所有权利。 Powered by tikuer.com

页面耗时0.0709秒, 内存占用1.03 MB, Cache:redis,访问数据库19次