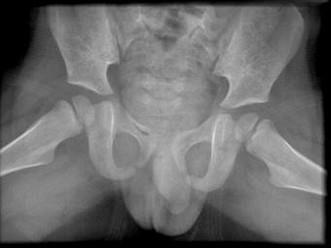
男,请根据其正常盆腔影像图像,判断其最可能的年龄 ( )A、3岁左右B、9岁左右C、12岁左右D、6岁左右E、15岁左右

作者: rantiku 人气: - 评论: 0
问题 男,请根据其正常盆腔影像图像,判断其最可能的年龄 ( )
选项 A、3岁左右 B、9岁左右 C、12岁左右 D、6岁左右 E、15岁左右
答案 A
解析

猜你喜欢

发表评论
更多 网友评论0 条评论)
暂无评论

访问排行

Copyright © 2012-2014 恰考网 Inc. 保留所有权利。 Powered by tikuer.com

页面耗时0.0417秒, 内存占用1.03 MB, Cache:redis,访问数据库19次