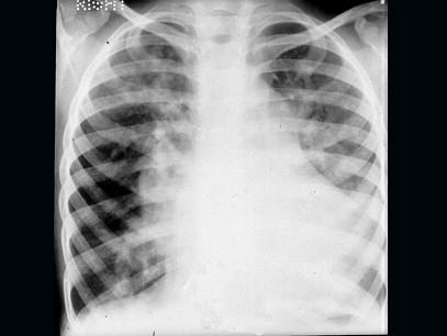
患儿男,4岁,生后反复发生呼吸道感染,发育差,活动后气促,无发绀。听诊胸骨左缘第3肋间可闻及Ⅲ级粗糙的全收缩期杂音,肺动脉第2音显著亢进,X线示如图:肺野...

作者: rantiku 人气: - 评论: 0
问题 患儿男,4岁,生后反复发生呼吸道感染,发育差,活动后气促,无发绀。听诊胸骨左缘第3肋间可闻及Ⅲ级粗糙的全收缩期杂音,肺动脉第2音显著亢进,X线示如图:肺野明显充血。该患儿最易并发下列哪种疾病 ( )
选项 A、脑脓肿 B、喉返神经麻痹 C、支气管肺炎 D、脑栓塞 E、心肌炎
答案 C
解析

猜你喜欢

发表评论
更多 网友评论0 条评论)
暂无评论

访问排行

Copyright © 2012-2014 恰考网 Inc. 保留所有权利。 Powered by tikuer.com

页面耗时0.0446秒, 内存占用1.03 MB, Cache:redis,访问数据库18次