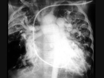
5岁患儿,生后3个月发现心脏杂音。曾患4次肺炎。胸骨左缘34肋间闻及4/6级全收缩期杂音,心尖区有短促的舒张期杂音。右心导管检查如图,导管可从右室进入左室...

作者: rantiku 人气: - 评论: 0
问题 5岁患儿,生后3个月发现心脏杂音。曾患4次肺炎。胸骨左缘34肋间闻及4/6级全收缩期杂音,心尖区有短促的舒张期杂音。右心导管检查如图,导管可从右室进入左室,右室血氧高于右房。可能的诊断是 ( )
选项 A、风湿性二尖瓣狭窄 B、肺动脉狭窄 C、室间隔缺损 D、动脉导管未闭 E、房间隔缺损
答案 C
解析

猜你喜欢

发表评论
更多 网友评论0 条评论)
暂无评论

访问排行

Copyright © 2012-2014 恰考网 Inc. 保留所有权利。 Powered by tikuer.com

页面耗时0.0326秒, 内存占用1.03 MB, Cache:redis,访问数据库18次