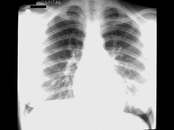
男,12岁,体检时发现心脏有杂音。在胸骨左缘第二肋间闻及ⅡⅢ级收缩期喷射性杂音,未扪及震颤,P亢进。胸片如图,示梨形心,右心房,右心室增大,肺动脉段饱满,...

作者: rantiku 人气: - 评论: 0
问题 男,12岁,体检时发现心脏有杂音。在胸骨左缘第二肋间闻及ⅡⅢ级收缩期喷射性杂音,未扪及震颤,P亢进。胸片如图,示梨形心,右心房,右心室增大,肺动脉段饱满,主动脉结小,肺纹理增多。EKG示电轴右偏,V1呈Rsr’型,最可能的诊断是 ( )
选项 A、动脉导管未闭 B、肺动脉狭窄 C、房间隔缺损 D、法洛四联症 E、室间隔缺损
答案 C
解析

猜你喜欢

发表评论
更多 网友评论0 条评论)
暂无评论

访问排行

Copyright © 2012-2014 恰考网 Inc. 保留所有权利。 Powered by tikuer.com

页面耗时0.0333秒, 内存占用1.03 MB, Cache:redis,访问数据库19次