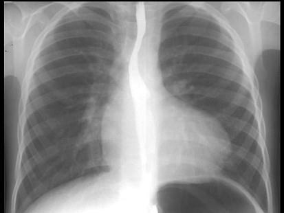
如图,X线检查表现为肺动脉段凹陷,可能为下列哪一种先天性心脏病的 ( )A、室间隔缺损B、动脉导管未闭C、肺动脉狭窄D、法洛四联症E、...
相关内容:如图,动脉,段凹陷,心脏,间隔,导管,未闭,法洛,四联
猜你喜欢
- 上颌游离端局部义齿基托后缘应位于A.末端人工牙远中B.翼上颌切迹前方C.翼上颌切迹D.上颌结节E.腭小凹连线
- 活跃期延长A 从规律宫缩开始,经16小时宫口扩张至2cmB 初产妇宫口开全2小时尚未分娩C 宫口在开至5cm后,2小时仍5cmD 8小时前...
- 根据《仲裁法》的规定,仲裁协议法律效力的表现包括()。A.对双方当事人的法律效力
B.对法院的法律效力
C.对仲裁机构的效力
D.仲裁事项的效力
...
- 国家制定的规范性文件有( )。A.国家行政机关的裁决 B.立法机关的法律C.审判机关的判决 D.公安机关的逮捕证
- 项目管理任务分工表的编制程序包括:①编制任务分工表;②进行项目管理任务分解;③明确各工作部门或个人的工作任务。其正确的顺序是()。A.①—②—③
B.②...
- 在工程计价争议处理方法中,解决争执最基本、最常见和最有效的方法为( )。A. 协商
B. 调解
C. 仲裁
D. 诉讼
- 下列不属于股权投资基金的退出方式是( )A. 上市转让退出
B. 在场外交易市场挂牌转让退出
C. 口头说明转让退出
D. 协议转让退出
- A."人命至重,有贵千金,一方济之,德逾于此"B."无恒德者,不可以做医,人命生死之所系"C."一存仁心,……二通儒道,……三精脉理,…...
- 全日制高等学校在校大学生入伍后服现役期间,其家属由( )按照有关规定给予优待。A.其就读学校
B.其就读学校所在地人民政府
C.其入学前户口所在地人民...
- 某男,32岁。近3天所在单位多人发热,患者1天前突然发热,高热不退,周身酸痛,无汗,口干,咽喉疼痛,舌质红,苔黄,脉浮数,应选用的中医治法是()A.辛凉解...