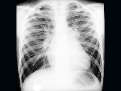
先天性心脏病患儿胸部X线透视下可见“肺门舞蹈”征,心影呈梨形,如图,最可能的诊断为 ( )A、大动脉转位B、主动脉缩窄C、肺动脉瓣狭窄D、...

作者: rantiku 人气: - 评论: 0
问题 先天性心脏病患儿胸部X线透视下可见“肺门舞蹈”征,心影呈梨形,如图,最可能的诊断为 ( )
选项 A、大动脉转位 B、主动脉缩窄 C、肺动脉瓣狭窄 D、房间隔缺损 E、法洛四联症
答案 D
解析

猜你喜欢

发表评论
更多 网友评论0 条评论)
暂无评论

访问排行

Copyright © 2012-2014 恰考网 Inc. 保留所有权利。 Powered by tikuer.com

页面耗时0.0473秒, 内存占用1.03 MB, Cache:redis,访问数据库17次