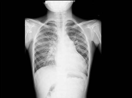
5岁男孩,诊断先心病室间隔缺损,拍胸部正位片如图所示,你认为下列关于肺部正确的结论是 ( )A、间质性肺水肿B、肺充血C、正常肺D、肺泡性...

作者: rantiku 人气: - 评论: 0
问题 5岁男孩,诊断先心病室间隔缺损,拍胸部正位片如图所示,你认为下列关于肺部正确的结论是 ( )
选项 A、间质性肺水肿 B、肺充血 C、正常肺 D、肺泡性肺水肿 E、肺淤血
答案 B
解析

猜你喜欢

发表评论
更多 网友评论0 条评论)
暂无评论

访问排行

Copyright © 2012-2014 恰考网 Inc. 保留所有权利。 Powered by tikuer.com

页面耗时0.0441秒, 内存占用1.03 MB, Cache:redis,访问数据库20次