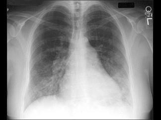
室间隔缺损伴明显肺动脉高压时,如图,其临床表现应除外下列哪一项 ( )A、肺动脉段明显突出B、右室压力显著升高C、原有心脏杂音明显增强D、...

作者: rantiku 人气: - 评论: 0
问题 室间隔缺损伴明显肺动脉高压时,如图,其临床表现应除外下列哪一项 ( )
选项 A、肺动脉段明显突出 B、右室压力显著升高 C、原有心脏杂音明显增强 D、肺动脉第二音显著亢进 E、右向左分流,出现青紫
答案 C
解析

猜你喜欢

发表评论
更多 网友评论0 条评论)
暂无评论

访问排行

Copyright © 2012-2014 恰考网 Inc. 保留所有权利。 Powered by tikuer.com

页面耗时0.0425秒, 内存占用1.03 MB, Cache:redis,访问数据库20次