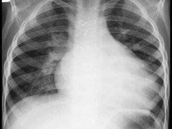
女孩11岁,胸骨左缘第2肋间听到Ⅱ级收缩期杂音,肺动脉瓣区第二心音固定分裂。胸片示如图,右房右室增大。心电图为不完全右束支阻滞,最可能的诊断是 ( )...

作者: rantiku 人气: - 评论: 0
问题 女孩11岁,胸骨左缘第2肋间听到Ⅱ级收缩期杂音,肺动脉瓣区第二心音固定分裂。胸片示如图,右房右室增大。心电图为不完全右束支阻滞,最可能的诊断是 ( )
选项 A、法洛四联症 B、动脉导管未闭 C、室间隔缺损 D、肺动脉狭窄 E、房间隔缺损
答案 E
解析

猜你喜欢

发表评论
更多 网友评论0 条评论)
暂无评论

访问排行

Copyright © 2012-2014 恰考网 Inc. 保留所有权利。 Powered by tikuer.com

页面耗时0.0808秒, 内存占用1.03 MB, Cache:redis,访问数据库20次