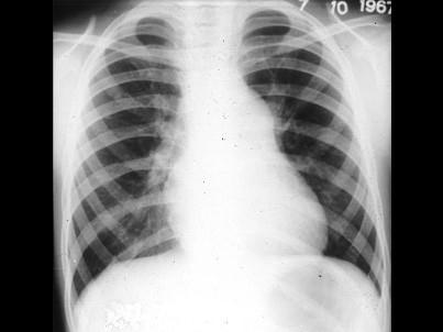
男孩,8岁。体检时发现胸骨左缘第2肋间有粗糙喷射性全收缩期杂音,向颈部传导,肺动脉瓣区第2音减弱。经右心导管检查,证实为中度肺动脉瓣狭窄。进行X线检查,如...

作者: rantiku 人气: - 评论: 0
问题 男孩,8岁。体检时发现胸骨左缘第2肋间有粗糙喷射性全收缩期杂音,向颈部传导,肺动脉瓣区第2音减弱。经右心导管检查,证实为中度肺动脉瓣狭窄。进行X线检查,如图所示,下列哪一项不是特点 ( )
选项 A、肺动脉总干膨出 B、肺血减少,肺野清晰 C、右心室有不同程度增大 D、肺动脉段多平直 E、有时右心房增大
答案 D
解析

猜你喜欢

发表评论
更多 网友评论0 条评论)
暂无评论

访问排行

Copyright © 2012-2014 恰考网 Inc. 保留所有权利。 Powered by tikuer.com

页面耗时0.0437秒, 内存占用1.02 MB, Cache:redis,访问数据库14次