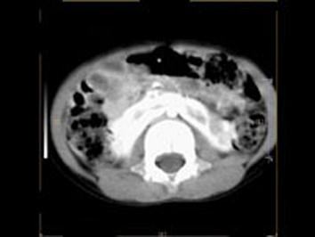
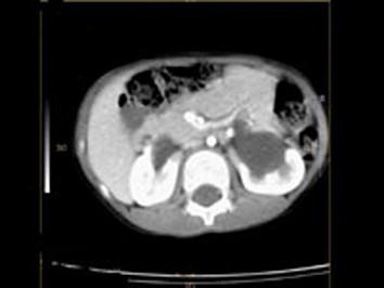
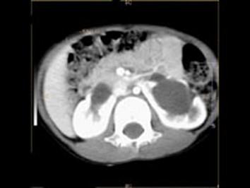
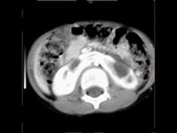
女,6个月,CT扫描如图所示,下列说法错误的是 ( )A、异位肾B、马蹄肾C、双侧肾门朝向前内方D、双肾下极融合E、双侧肾盂积水

作者: rantiku 人气: - 评论: 0
问题 女,6个月,CT扫描如图所示,下列说法错误的是 ( )
选项 A、异位肾 B、马蹄肾 C、双侧肾门朝向前内方 D、双肾下极融合 E、双侧肾盂积水
答案 A
解析

猜你喜欢

发表评论
更多 网友评论0 条评论)
暂无评论

访问排行

Copyright © 2012-2014 恰考网 Inc. 保留所有权利。 Powered by tikuer.com

页面耗时0.0363秒, 内存占用1.03 MB, Cache:redis,访问数据库19次