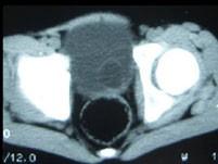
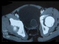
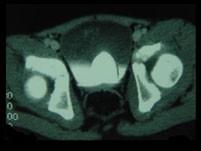
男,12岁,无任何不适,体检做CT扫描如图所示,下列说法错误的是 ( )A、考虑为左侧输尿管囊肿B、考虑为膀胱癌C、平扫时可见该病...

作者: rantiku 人气: - 评论: 0
问题 男,12岁,无任何不适,体检做CT扫描如图所示,下列说法错误的是 ( )
选项 A、考虑为左侧输尿管囊肿 B、考虑为膀胱癌 C、平扫时可见该病灶为囊性密度,边缘有薄壁 D、增强扫描延时期可见该病灶内有造影剂充盈 E、膀胱三角区内可见一类圆形边缘光滑的充盈缺损
答案 B
解析

猜你喜欢

发表评论
更多 网友评论0 条评论)
暂无评论

访问排行

Copyright © 2012-2014 恰考网 Inc. 保留所有权利。 Powered by tikuer.com

页面耗时0.0448秒, 内存占用1.03 MB, Cache:redis,访问数据库14次