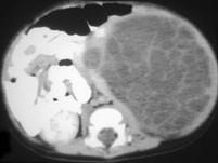
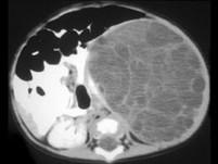
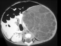
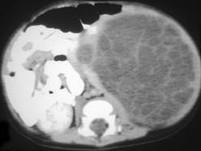
男,5岁,左季肋部可触及一包块,请根据其影像,选择最可能的诊断 ( )A、左肾细胞癌B、左肾多房性囊肿C、左肾单纯性囊肿D、左...

作者: rantiku 人气: - 评论: 0
问题 男,5岁,左季肋部可触及一包块,请根据其影像,选择最可能的诊断 ( )
选项 A、左肾细胞癌 B、左肾多房性囊肿 C、左肾单纯性囊肿 D、左肾脓肿 E、左肾血管平滑肌脂肪瘤
答案 B
解析

猜你喜欢

发表评论
更多 网友评论0 条评论)
暂无评论

访问排行

Copyright © 2012-2014 恰考网 Inc. 保留所有权利。 Powered by tikuer.com

页面耗时0.0420秒, 内存占用1.02 MB, Cache:redis,访问数据库13次