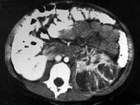
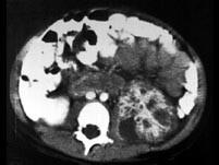
男,5岁,有尿路感染伴急性发热,CT增强扫描如图所示,最可能诊断为 ( )A、左侧黄色肉芽肿性肾盂肾炎B、左侧慢性肾盂肾炎C、左侧肾脓肿 ...

作者: rantiku 人气: - 评论: 0
问题 男,5岁,有尿路感染伴急性发热,CT增强扫描如图所示,最可能诊断为 ( )
选项 A、左侧黄色肉芽肿性肾盂肾炎 B、左侧慢性肾盂肾炎 C、左侧肾脓肿 D、左侧急性肾盂肾炎 E、左侧肾炎
答案 D
解析

猜你喜欢

发表评论
更多 网友评论0 条评论)
暂无评论

访问排行

Copyright © 2012-2014 恰考网 Inc. 保留所有权利。 Powered by tikuer.com

页面耗时0.0355秒, 内存占用1.03 MB, Cache:redis,访问数据库20次