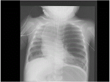
女婴,6个月,呼吸窘迫,左肺呼吸音弱、偶可闻及哮鸣音,请结合影像图像选择,最可能的诊断( )A、先天性囊性腺瘤样畸形B、支气管囊肿C、细支气管...

作者: rantiku 人气: - 评论: 0
问题 女婴,6个月,呼吸窘迫,左肺呼吸音弱、偶可闻及哮鸣音,请结合影像图像选择,最可能的诊断( )
选项 A、先天性囊性腺瘤样畸形 B、支气管囊肿 C、细支气管肺炎 D、胸腔积液 E、先天性肺气肿
答案 E
解析

猜你喜欢

发表评论
更多 网友评论0 条评论)
暂无评论

访问排行

Copyright © 2012-2014 恰考网 Inc. 保留所有权利。 Powered by tikuer.com

页面耗时0.0708秒, 内存占用1.03 MB, Cache:redis,访问数据库20次