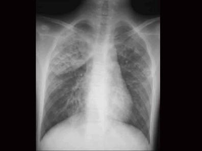
患儿11个月,突发高热4天,烦躁,咳嗽频繁,呻吟,发病前3天有皮肤破损及感染史,肺部有散在中、细湿啰音,胸部X线可见斑点状结节阴影,见图,血象白细胞总数增...

作者: rantiku 人气: - 评论: 0
问题 患儿11个月,突发高热4天,烦躁,咳嗽频繁,呻吟,发病前3天有皮肤破损及感染史,肺部有散在中、细湿啰音,胸部X线可见斑点状结节阴影,见图,血象白细胞总数增高,核左移,该患儿最可能诊断为 ( )
选项 A、呼吸道合胞病毒性肺炎 B、肺炎链球菌肺炎 C、腺病毒性肺炎 D、支原体肺炎 E、金黄色葡萄球菌性肺炎
答案 E
解析

猜你喜欢

发表评论
更多 网友评论0 条评论)
暂无评论

访问排行

Copyright © 2012-2014 恰考网 Inc. 保留所有权利。 Powered by tikuer.com

页面耗时0.0679秒, 内存占用1.03 MB, Cache:redis,访问数据库19次