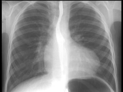
如图,X线检查表现为肺动脉段凹陷,可能为下列哪一种先天性心脏病的 ( )A、室间隔缺损B、动脉导管未闭C、肺动脉狭窄D、法洛四联症E、...

作者: rantiku 人气: - 评论: 0
问题 如图,X线检查表现为肺动脉段凹陷,可能为下列哪一种先天性心脏病的 ( )
选项 A、室间隔缺损 B、动脉导管未闭 C、肺动脉狭窄 D、法洛四联症 E、房间隔缺损
答案 D
解析

猜你喜欢

发表评论
更多 网友评论0 条评论)
暂无评论

访问排行

Copyright © 2012-2014 恰考网 Inc. 保留所有权利。 Powered by tikuer.com

页面耗时0.0434秒, 内存占用1.03 MB, Cache:redis,访问数据库18次