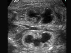
如图为孕34周的胎儿声像图表现,根据图像特点,最可能诊断为 ( )A、肾畸形B、以上均不是C、肾积水D、肾囊肿E、多囊肾

作者: rantiku 人气: - 评论: 0
问题 如图为孕34周的胎儿声像图表现,根据图像特点,最可能诊断为 ( )
选项 A、肾畸形 B、以上均不是 C、肾积水 D、肾囊肿 E、多囊肾
答案 C
解析

猜你喜欢

发表评论
更多 网友评论0 条评论)
暂无评论

访问排行

Copyright © 2012-2014 恰考网 Inc. 保留所有权利。 Powered by tikuer.com

页面耗时0.0425秒, 内存占用1.03 MB, Cache:redis,访问数据库17次