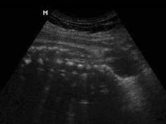
25岁孕妇,孕37周,行产前常规超声检查,既往体健,超声发现如下图所示,根据图像最有可能诊断为 ( )A、无脑儿B、以上都不是C、脐带...

作者: rantiku 人气: - 评论: 0
问题 25岁孕妇,孕37周,行产前常规超声检查,既往体健,超声发现如下图所示,根据图像最有可能诊断为 ( )
选项 A、无脑儿 B、以上都不是 C、脐带绕颈 D、脊膜膨出 E、脊柱裂
答案 E
解析

猜你喜欢

发表评论
更多 网友评论0 条评论)
暂无评论

访问排行

Copyright © 2012-2014 恰考网 Inc. 保留所有权利。 Powered by tikuer.com

页面耗时0.0777秒, 内存占用1.03 MB, Cache:redis,访问数据库18次