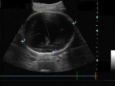
36周胎儿头部超声检查如图,根据声像图初步诊断应该为 ( )A、孔洞脑B、小脑蚓部缺损C、脑积水D、先天性蛛网膜囊肿E、无脑畸形

作者: rantiku 人气: - 评论: 0
问题 36周胎儿头部超声检查如图,根据声像图初步诊断应该为 ( )
选项 A、孔洞脑 B、小脑蚓部缺损 C、脑积水 D、先天性蛛网膜囊肿 E、无脑畸形
答案 C
解析

猜你喜欢

发表评论
更多 网友评论0 条评论)
暂无评论

访问排行

Copyright © 2012-2014 恰考网 Inc. 保留所有权利。 Powered by tikuer.com

页面耗时0.0475秒, 内存占用1.03 MB, Cache:redis,访问数据库19次