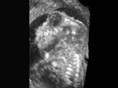
26岁孕妇,既往体健,孕7周时常规产前B超检查未见异常,孕19周时检查,声像图如下图所示,根据图像所示,最有可能诊断的胎儿畸形是 ( )A、脊...

作者: rantiku 人气: - 评论: 0
问题 26岁孕妇,既往体健,孕7周时常规产前B超检查未见异常,孕19周时检查,声像图如下图所示,根据图像所示,最有可能诊断的胎儿畸形是 ( )
选项 A、脊膜膨出 B、以上都不是 C、无脑儿 D、脑膨出 E、脊柱裂
答案 C
解析

猜你喜欢

发表评论
更多 网友评论0 条评论)
暂无评论

访问排行

Copyright © 2012-2014 恰考网 Inc. 保留所有权利。 Powered by tikuer.com

页面耗时0.0347秒, 内存占用1.02 MB, Cache:redis,访问数据库14次