患者女25岁,停经37周,阴道不规则出血来院就诊,B超检查声像图如图所示应诊断为 ( )A、先兆早产B、以上都不是C、前置胎盘D、...

作者: rantiku 人气: - 评论: 0
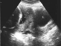
问题 患者女25岁,停经37周,阴道不规则出血来院就诊,B超检查声像图如图所示应诊断为 ( )
选项 A、先兆早产 B、以上都不是 C、前置胎盘 D、副胎盘 E、胎盘早剥
答案 C
解析

猜你喜欢

发表评论
更多 网友评论0 条评论)
暂无评论

访问排行

Copyright © 2012-2014 恰考网 Inc. 保留所有权利。 Powered by tikuer.com

页面耗时0.0937秒, 内存占用1.03 MB, Cache:redis,访问数据库18次