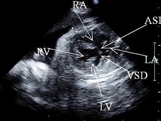
胎儿心脏超声检查如图,最可能的诊断是 ( )A、心内膜垫缺损B、大动脉换位(TGA)C、右心发育不良综合征D、左心发育不良综合征 ...

作者: rantiku 人气: - 评论: 0
问题 胎儿心脏超声检查如图,最可能的诊断是 ( )
选项 A、心内膜垫缺损 B、大动脉换位(TGA) C、右心发育不良综合征 D、左心发育不良综合征 E、法鲁四联征
答案 A
解析

猜你喜欢

发表评论
更多 网友评论0 条评论)
暂无评论

访问排行

Copyright © 2012-2014 恰考网 Inc. 保留所有权利。 Powered by tikuer.com

页面耗时0.0304秒, 内存占用1.03 MB, Cache:redis,访问数据库19次