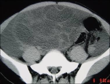
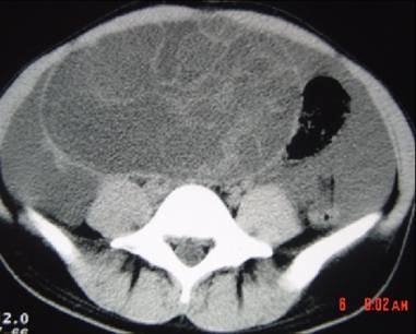
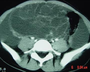
40岁女性患者,下腹部隐痛、腹胀一年余,B超检查提示盆腔包块,行CT检查,如图,你认为最可能的答案是 ( )A、卵巢囊腺癌B、卵巢...

作者: rantiku 人气: - 评论: 0
问题 40岁女性患者,下腹部隐痛、腹胀一年余,B超检查提示盆腔包块,行CT检查,如图,你认为最可能的答案是 ( )
选项 A、卵巢囊腺癌 B、卵巢浆液性囊腺瘤 C、卵巢囊肿 D、卵巢囊腺瘤 E、卵巢畸胎瘤
答案 D
解析

猜你喜欢

发表评论
更多 网友评论0 条评论)
暂无评论

访问排行

Copyright © 2012-2014 恰考网 Inc. 保留所有权利。 Powered by tikuer.com

页面耗时0.0442秒, 内存占用1.03 MB, Cache:redis,访问数据库18次