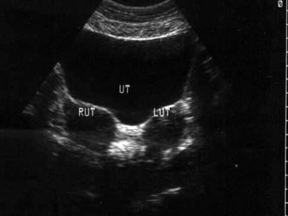
患者女24岁,已婚未育,体检时B超发现如图所示,应诊断为 ( )A、双子宫B、盆腔积液C、左附件实质性包块D、子宫肌瘤E、右附...

作者: rantiku 人气: - 评论: 0
问题 患者女24岁,已婚未育,体检时B超发现如图所示,应诊断为 ( )
选项 A、双子宫 B、盆腔积液 C、左附件实质性包块 D、子宫肌瘤 E、右附件实质性包块
答案 A
解析

猜你喜欢

发表评论
更多 网友评论0 条评论)
暂无评论

访问排行

Copyright © 2012-2014 恰考网 Inc. 保留所有权利。 Powered by tikuer.com

页面耗时0.0325秒, 内存占用1.03 MB, Cache:redis,访问数据库14次