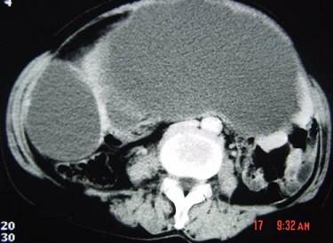
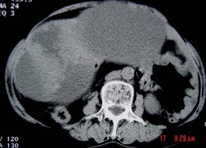
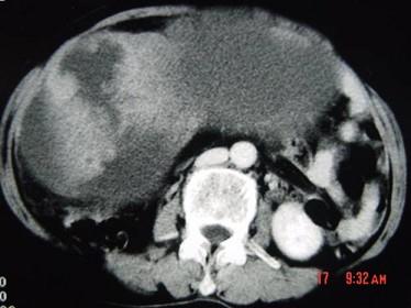
55岁女性患者,腹胀腹痛消瘦一年余,行CT扫描如图所示,你认为最佳答案是 ( )A、卵巢浆液性囊腺瘤B、卵巢囊腺癌C、卵巢...

作者: rantiku 人气: - 评论: 0
问题 55岁女性患者,腹胀腹痛消瘦一年余,行CT扫描如图所示,你认为最佳答案是 ( )
选项 A、卵巢浆液性囊腺瘤 B、卵巢囊腺癌 C、卵巢囊肿 D、卵巢粘液性囊腺瘤 E、卵巢表皮样囊肿
答案 B
解析

猜你喜欢

发表评论
更多 网友评论0 条评论)
暂无评论

访问排行

Copyright © 2012-2014 恰考网 Inc. 保留所有权利。 Powered by tikuer.com

页面耗时0.0568秒, 内存占用1.02 MB, Cache:redis,访问数据库13次