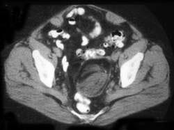
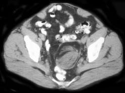
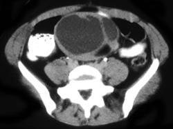
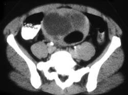
45岁女性患者,自觉腹部胀痛就诊,无发热,血象正常。B超提示左侧附件占位,行CT检查,如图所示,盆腔内见低密度肿块影,其内密度不均,最低CT值约为-150...

作者: rantiku 人气: - 评论: 0
问题 45岁女性患者,自觉腹部胀痛就诊,无发热,血象正常。B超提示左侧附件占位,行CT检查,如图所示,盆腔内见低密度肿块影,其内密度不均,最低CT值约为-150.0hu。你认为最佳答案是 ( )
选项 A、卵巢异位妊娠 B、卵巢粘液癌 C、卵巢皮样囊肿 D、卵巢结核 E、卵巢粘液瘤
答案 C
解析

猜你喜欢

发表评论
更多 网友评论0 条评论)
暂无评论

访问排行

Copyright © 2012-2014 恰考网 Inc. 保留所有权利。 Powered by tikuer.com

页面耗时0.0392秒, 内存占用1.02 MB, Cache:redis,访问数据库13次