女性,27岁,体检时B超发现右侧附件区囊性占位性病变,行CT检查,下列说法错误的是 ( )A、此为卵巢浆液性囊腺瘤B、此为卵巢...

作者: rantiku 人气: - 评论: 0
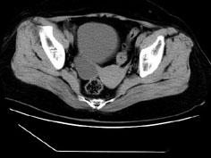
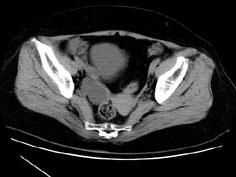
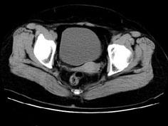
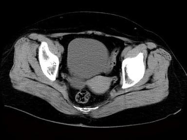
问题 女性,27岁,体检时B超发现右侧附件区囊性占位性病变,行CT检查,下列说法错误的是 ( )
选项 A、此为卵巢浆液性囊腺瘤 B、此为卵巢囊肿 C、病灶边界清晰 D、病灶为单房,壁薄,无分隔 E、病灶来源于右侧卵巢
答案 A
解析

猜你喜欢

发表评论
更多 网友评论0 条评论)
暂无评论

访问排行

Copyright © 2012-2014 恰考网 Inc. 保留所有权利。 Powered by tikuer.com

页面耗时0.0403秒, 内存占用1.03 MB, Cache:redis,访问数据库19次