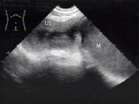
女性,64岁,一周前确诊为宫颈癌。超声检查如图,最可能的诊断是 ( )A、子宫内膜炎B、正常声像图C、宫腔积液D、子宫内膜癌E...

作者: rantiku 人气: - 评论: 0
问题 女性,64岁,一周前确诊为宫颈癌。超声检查如图,最可能的诊断是 ( )
选项 A、子宫内膜炎 B、正常声像图 C、宫腔积液 D、子宫内膜癌 E、子宫肌瘤
答案 C
解析

猜你喜欢

发表评论
更多 网友评论0 条评论)
暂无评论

访问排行

Copyright © 2012-2014 恰考网 Inc. 保留所有权利。 Powered by tikuer.com

页面耗时0.0344秒, 内存占用1.03 MB, Cache:redis,访问数据库19次