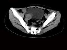
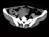
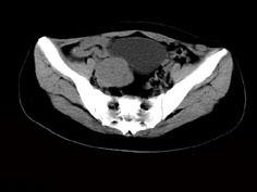
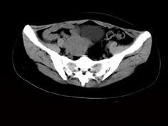
女,24岁,近月余感尿频明显,CT检查如图,最可能诊断为 ( )A、盆腔纤维瘤B、卵巢囊肿C、子宫肌瘤D、卵巢癌E...

作者: rantiku 人气: - 评论: 0
问题 女,24岁,近月余感尿频明显,CT检查如图,最可能诊断为 ( )
选项 A、盆腔纤维瘤 B、卵巢囊肿 C、子宫肌瘤 D、卵巢癌 E、膀胱癌
答案 A
解析

猜你喜欢

发表评论
更多 网友评论0 条评论)
暂无评论

访问排行

Copyright © 2012-2014 恰考网 Inc. 保留所有权利。 Powered by tikuer.com

页面耗时0.0375秒, 内存占用1.02 MB, Cache:redis,访问数据库13次