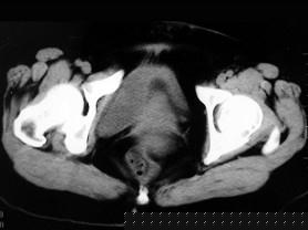
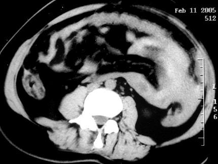
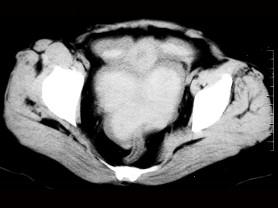
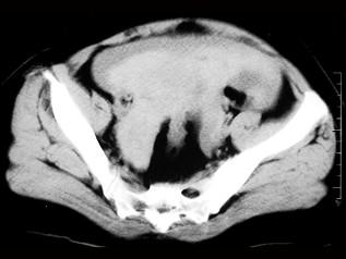
女 ,32岁 ,因停经46天 ,少许不规则阴道流血15天 ,下腹胀痛 3 天入院,后穹窿穿剌抽出不凝血,CT检查如图所示,下列说法错误的是 ( )...

作者: rantiku 人气: - 评论: 0
问题 女 ,32岁 ,因停经46天 ,少许不规则阴道流血15天 ,下腹胀痛 3 天入院,后穹窿穿剌抽出不凝血,CT检查如图所示,下列说法错误的是 ( )
选项 A、此为宫外孕 B、此为卵巢巧克力囊肿 C、病灶外缘较光整 D、盆腔内较高密度积液 E、在左附件区可见一椭圆形略高密度病灶
答案 B
解析

猜你喜欢

发表评论
更多 网友评论0 条评论)
暂无评论

访问排行

Copyright © 2012-2014 恰考网 Inc. 保留所有权利。 Powered by tikuer.com

页面耗时0.0572秒, 内存占用1.03 MB, Cache:redis,访问数据库20次