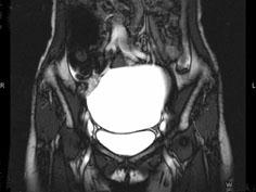
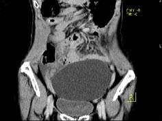
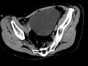
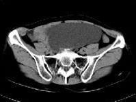
女, 62 岁, 左下腹持续性疼痛 3 天, 伴恶心、呕吐, 左侧附件区扪及一囊性包块, 活动, 表面光滑, 压痛明显,CT和MRI检查如图所示,下列说法...

作者: rantiku 人气: - 评论: 0
问题 女, 62 岁, 左下腹持续性疼痛 3 天, 伴恶心、呕吐, 左侧附件区扪及一囊性包块, 活动, 表面光滑, 压痛明显,CT和MRI检查如图所示,下列说法错误的是 ( )
选项 A、结合临床症状,考虑为卵巢囊肿扭转 B、结合临床症状,考虑为卵巢囊腺瘤 C、该病灶包膜完整,边界清晰 D、膀胱向下压移位 E、左侧附件区一囊性占位性病变
答案 B
解析

猜你喜欢

发表评论
更多 网友评论0 条评论)
暂无评论

访问排行

Copyright © 2012-2014 恰考网 Inc. 保留所有权利。 Powered by tikuer.com

页面耗时0.0325秒, 内存占用1.03 MB, Cache:redis,访问数据库16次