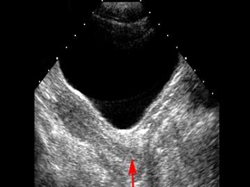
红色箭头所指部位是 ( )A、膀胱B、以上都不是C、阴道D、子宫E、宫颈

作者: rantiku 人气: - 评论: 0
问题 红色箭头所指部位是 ( )
选项 A、膀胱 B、以上都不是 C、阴道 D、子宫 E、宫颈
答案 E
解析

猜你喜欢

发表评论
更多 网友评论0 条评论)
暂无评论

访问排行

Copyright © 2012-2014 恰考网 Inc. 保留所有权利。 Powered by tikuer.com

页面耗时0.0311秒, 内存占用1.03 MB, Cache:redis,访问数据库18次