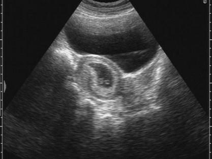
超声检查如图,液性暗区内光环样结构为 ( )A、脐带B、羊水C、羊膜囊D、卵黄囊E、胚芽

作者: rantiku 人气: - 评论: 0
问题 超声检查如图,液性暗区内光环样结构为 ( )
选项 A、脐带 B、羊水 C、羊膜囊 D、卵黄囊 E、胚芽
答案 D
解析

猜你喜欢

发表评论
更多 网友评论0 条评论)
暂无评论

访问排行

Copyright © 2012-2014 恰考网 Inc. 保留所有权利。 Powered by tikuer.com

页面耗时0.0533秒, 内存占用1.03 MB, Cache:redis,访问数据库19次