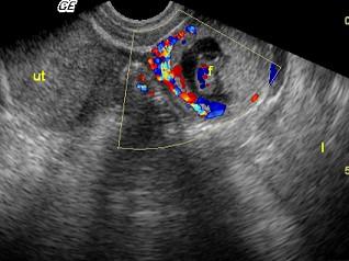
女性,35岁,停经43天,阴道不规则出血一周。超声检查见图,最可能的诊断是 ( )A、黄体囊肿B、正常声像图C、宫外孕D、畸胎瘤 ...

作者: rantiku 人气: - 评论: 0
问题 女性,35岁,停经43天,阴道不规则出血一周。超声检查见图,最可能的诊断是 ( )
选项 A、黄体囊肿 B、正常声像图 C、宫外孕 D、畸胎瘤 E、炎性包块
答案 C
解析

猜你喜欢

发表评论
更多 网友评论0 条评论)
暂无评论

访问排行

Copyright © 2012-2014 恰考网 Inc. 保留所有权利。 Powered by tikuer.com

页面耗时0.0342秒, 内存占用1.02 MB, Cache:redis,访问数据库14次