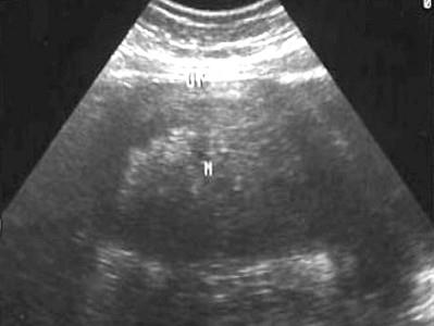
女性,46岁,月经量不多,无痛经史,超声检查见图,最可能的诊断是 ( )A、子宫腺肌症B、正常声像图C、子宫内膜癌D、宫颈肥厚...

作者: rantiku 人气: - 评论: 0
问题 女性,46岁,月经量不多,无痛经史,超声检查见图,最可能的诊断是 ( )
选项 A、子宫腺肌症 B、正常声像图 C、子宫内膜癌 D、宫颈肥厚 E、子宫肌瘤
答案 E
解析

猜你喜欢

发表评论
更多 网友评论0 条评论)
暂无评论

访问排行

Copyright © 2012-2014 恰考网 Inc. 保留所有权利。 Powered by tikuer.com

页面耗时0.0320秒, 内存占用1.03 MB, Cache:redis,访问数据库19次