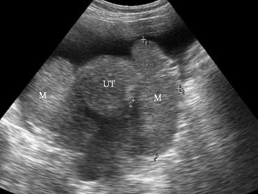
女性,49岁,胃部不适、消瘦3个月就诊。超声检查如图,最可能的诊断是 ( )A、卵巢转移癌B、正常声像图C、卵巢纤维瘤D、炎性包块...

作者: rantiku 人气: - 评论: 0
问题 女性,49岁,胃部不适、消瘦3个月就诊。超声检查如图,最可能的诊断是 ( )
选项 A、卵巢转移癌 B、正常声像图 C、卵巢纤维瘤 D、炎性包块 E、畸胎瘤
答案 A
解析

猜你喜欢

发表评论
更多 网友评论0 条评论)
暂无评论

访问排行

Copyright © 2012-2014 恰考网 Inc. 保留所有权利。 Powered by tikuer.com

页面耗时0.0568秒, 内存占用1.03 MB, Cache:redis,访问数据库17次