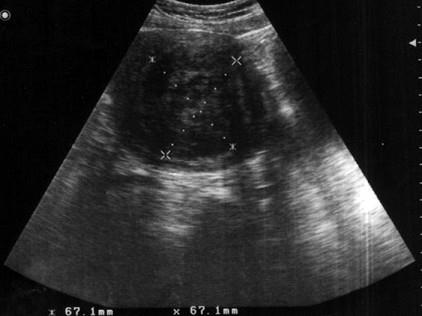
患者女45岁,阴道不规则出血数月,妇检:子宫体积增大,如球形,B超检查声像图如图所示应诊断为 ( )A、子宫内膜CaB、卵巢囊肿C、子...

作者: rantiku 人气: - 评论: 0
问题 患者女45岁,阴道不规则出血数月,妇检:子宫体积增大,如球形,B超检查声像图如图所示应诊断为 ( )
选项 A、子宫内膜Ca B、卵巢囊肿 C、子宫肌瘤 D、葡萄胎 E、卵巢Ca
答案 C
解析

猜你喜欢

发表评论
更多 网友评论0 条评论)
暂无评论

访问排行

Copyright © 2012-2014 恰考网 Inc. 保留所有权利。 Powered by tikuer.com

页面耗时0.0695秒, 内存占用1.03 MB, Cache:redis,访问数据库18次