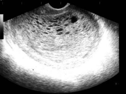
患者女24岁,停经2月余阴道不规则出血数日,阴式B超检查声像图如图所示,应诊断为 ( )A、宫内积血块B、先兆流产C、葡萄胎D、绒...

作者: rantiku 人气: - 评论: 0
问题 患者女24岁,停经2月余阴道不规则出血数日,阴式B超检查声像图如图所示,应诊断为 ( )
选项 A、宫内积血块 B、先兆流产 C、葡萄胎 D、绒癌 E、早孕
答案 C
解析

猜你喜欢

发表评论
更多 网友评论0 条评论)
暂无评论

访问排行

Copyright © 2012-2014 恰考网 Inc. 保留所有权利。 Powered by tikuer.com

页面耗时0.0388秒, 内存占用1.03 MB, Cache:redis,访问数据库19次