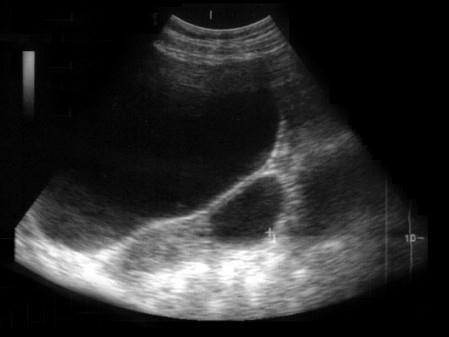
患者女25岁, B超检查如图所示应诊断为 ( )A、左卵巢囊肿B、左卵巢巧克力囊肿C、左侧输卵管积液D、左卵巢卵泡E、左卵巢Ca

作者: rantiku 人气: - 评论: 0
问题 患者女25岁, B超检查如图所示应诊断为 ( )
选项 A、左卵巢囊肿 B、左卵巢巧克力囊肿 C、左侧输卵管积液 D、左卵巢卵泡 E、左卵巢Ca
答案 A
解析

猜你喜欢

发表评论
更多 网友评论0 条评论)
暂无评论

访问排行

Copyright © 2012-2014 恰考网 Inc. 保留所有权利。 Powered by tikuer.com

页面耗时0.0397秒, 内存占用1.03 MB, Cache:redis,访问数据库19次